Dr. Cristina Anderson will use her expertise and knowledge to give you the best smile every time. Our dentist will use various treatments compiled in a customized treatment plan to ensure that you receive the care you deserve and that you reach your individual smile goals. Call us at 956-542-2000 to start your dental care with us in Brownsville, Texas!
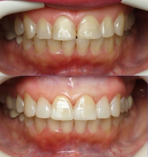
Whitening


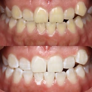
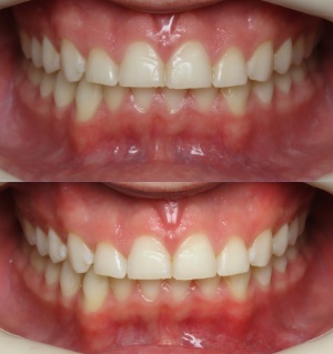
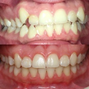
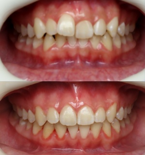
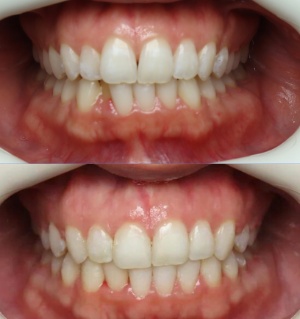
Ortho



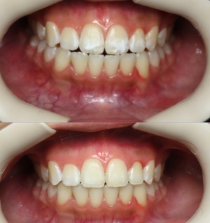
Resin Veeners

956-542-2000